

<!DOCTYPE html>


<html xmlns="http://www.w3.org/1999/xhtml" lang="tr" xml:lang="tr">


 <head> 

<meta http-equiv="Content-Language" content="tr">
<meta http-equiv="Content-Type" content="text/html; charset=windows-1254">
 
 

    <meta name="viewport" content="width=device-width, initial-scale=1" />






<meta name="rating" content="All" />
<meta name="robots" content="index, follow" />
<META NAME="AUTHOR" CONTENT="Öğr. Gör. Dr. Erkan TİYEKLİ">


<!-- Google tag (gtag.js) -->
<script async src="https://www.googletagmanager.com/gtag/js?id=G-5ECPBPQZ8Z"></script>
<script>
  window.dataLayer = window.dataLayer || [];
  function gtag(){dataLayer.push(arguments);}
  gtag('js', new Date());

  gtag('config', 'G-5ECPBPQZ8Z');
</script>

<meta name="Dmoz" content="denge siniri tümörü, tümör, köşe tümörü, baş dönmesi, işitme azlığı, çınlama" />
<meta name="Yahoo" content="denge siniri tümörü, tümör, köşe tümörü, baş dönmesi, işitme azlığı, çınlama" />
<meta name="Altavista" content="denge siniri tümörü, tümör, köşe tümörü, baş dönmesi, işitme azlığı, çınlama"/>
<meta name="Scooter" content="denge siniri tümörü, tümör, köşe tümörü, baş dönmesi, işitme azlığı, çınlama" />



<META HTTP-EQUIV="Copyright" CONTENT="Copyright Â© ">
<META NAME="description" CONTENT="">
<META NAME="keywords" CONTENT="denge siniri tümörü, tümör, köşe tümörü, baş dönmesi, işitme azlığı, çınlama">

<link rel="apple-touch-icon" sizes="180x180" href="/apple-touch-icon.png">
<link rel="icon" type="image/png" sizes="32x32" href="/favicon-32x32.png">
<link rel="icon" type="image/png" sizes="16x16" href="/favicon-16x16.png">
<link rel="manifest" href="/site.webmanifest">


    <!-- Document title -->


    <title>Akustik Norinom</title>

    <!-- Stylesheets & Fonts -->
    <link href="css/plugins.css" rel="stylesheet">
    <link href="css/style.css" rel="stylesheet">

</head>

<body>
    <!-- Body Inner -->
    <div class="body-inner">

        <!-- Topbar -->
	

		<div id="topbar" class="topbar-transparent topbar-fullwidth d-none d-lg-block">
            <div class="container">
                <div class="row">
                    <div class="col-md-6">
                        <ul class="top-menu">
							<li><b><i><font size="3" style="font-family: Verdana" color="white">Kent Kulak Burun Boğaz ve Estetik Cerrahi Merkezi</font></i></b></li>
							<li>&nbsp;&nbsp;&nbsp;&nbsp;&nbsp;</li>
                            <li><a href="tel:4444450"><i class="icon-phone-call"> </i> 4444450</a></li>
							<li><a href="mailto:info@kentkbb.org"><i class="icon-mail"> </i> info@kentkbb.org</a></li>
                        </ul>
                    </div>

                    <div class="col-md-6 d-none d-sm-block">
                        <div class="social-icons social-icons-colored-hover">
                            <ul>
			<li class="social-facebook"><a target="_blank" href="https://www.facebook.com/kentkulakburunbogazveestetikcerrahimerkezi"><i class="fab fa-facebook"></i></a></li><li class="social-instagram"><a target="_blank" href="https://www.instagram.com/kentkbb/"><i class="fab fa-instagram"></i></a></li><li class="social-youtube"><a target="_blank" href="https://www.youtube.com/channel/UCoJz9LqIi-SzAH1AnzB-SvA"><i class="fab fa-youtube"></i></a></li><li class="social-google"><a target="_blank" href="https://goo.gl/maps/YseuA6W4mjaJEq7D8"><i class="fa fa-map-marker"></i></a></li>
                            </ul>
                        </div>
                    </div>
                </div>
            </div>
        </div>
		
		
        <!-- end: Topbar -->	
	
        <!-- Header -->
        <header id="header" data-transparent="true" data-fullwidth="true" class="dark submenu-light">
            <div class="header-inner">
                <div class="container"
     

                    <!--Logo-->
                    <div id="logo">
                        <a href="default.asp?dil=1">
                            <span class="logo-default"><img src="images/logo.png" height="120"></span>
                            <span class="logo-dark"><img src="images/logo.png"></span>
                        </a>
                    </div>
                    <!--End: Logo-->




                    <!--Logo-->

                    <!--End: Logo-->

<script async src="https://cse.google.com/cse.js?cx=84e9795dc41364291"></script>



							<div id="modalShop" class="modal no-padding" data-delay="2000" style="max-width: 700px;">
                                <div class="row">
                                    
                                    <div class="col-md-12">
                                        <div class="p-40 p-xs-20">
											<div class="gcse-search"></div>
                                        </div>
                                    </div>
                                </div>
                            </div>					
                    <!-- end: search -->
                    <!--Header Extras-->
                    <div class="header-extras">
                        <ul>
                            <li>
                                <a href="#modalShop" data-lightbox="inline" > <i class="icon-search"></i></a>
                            </li>

                        </ul>
                    </div>
                    <!--end: Header Extras-->
                    <!--Navigation Resposnive Trigger-->
                    <div id="mainMenu-trigger">
                        <a class="lines-button x"><span class="lines"></span></a>
                    </div>
                    <!--end: Navigation Resposnive Trigger-->
                    <!--Navigation-->
<div id="mainMenu">
                        <div class="container">
                            <nav>
                                <ul>
                                    <li><a href="default.asp?dil=1">Ana Sayfa</a></li> 
                                    <li class="dropdown-submenu"><a href="#">Kurumsal</a>
                                    <ul class="dropdown-menu">
                                    
                                    <li><a href="sayfa-ayrinti.asp?ID=1&dil=1">Hakkımızda</a></li>
									<hr>
                                    
                                    <li><a href="sayfa-ayrinti.asp?ID=16&dil=1">kvkk</a></li>
									<hr>
                                    
                                    <li><a href="sayfa-ayrinti.asp?ID=33&dil=1">Vizyon, Misyon ve Değerler</a></li>
									<hr>
                                    
                                    <li><a href="sayfa-ayrinti.asp?ID=35&dil=1">Kalite Politikamız</a></li>
									<hr>
                                    
                                    <li><a href="sayfa-ayrinti.asp?ID=34&dil=1">Organizasyon Şeması</a></li>
									<hr>
                                    
                                    <li><a href="sayfa-ayrinti.asp?ID=36&dil=1">Hizmet Veren Bölüm ve Branşlar</a></li>
									<hr>
                                    
                                    <li><a href="sayfa-ayrinti.asp?ID=37&dil=1">Refakatçilerin Uyması Gereken Kurallar</a></li>
									<hr>
                                       
									<li><a href="kurum-detay.asp?dil=1">Anlaşmalı Kurumlar</a></li><hr>
                                    </ul>
                                    </li>
                                    <li class="dropdown-submenu"><a href="#">Doktorlarımız</a>
                                    <ul class="dropdown-menu">
                                    
                                    <li><a href="doktor-ayrinti.asp?ID=14&dil=1">Uzm. Dr. Ferit Bayrak</a></li>
									<hr>
                                    
                                    <li><a href="doktor-ayrinti.asp?ID=12&dil=1">Prof. Dr. Metin ÖNERCİ</a></li>
									<hr>
                                    
                                    <li><a href="doktor-ayrinti.asp?ID=9&dil=1">Op. Dr. Alper ŞENKAL</a></li>
									<hr>
                                    
                                    <li><a href="doktor-ayrinti.asp?ID=10&dil=1">Op.Dr. Mustafa BEZİRGAN</a></li>
									<hr>
                                         
                                    </ul>
                                    </li>
									<li class="dropdown-submenu"><a href="#">Tıbbi Üniteler</a>
                                    <ul class="dropdown-menu">
                                    
                                    <li><a href="bolum-detay.asp?id=3&dil=1">İşitme</a></li>
									<hr>
                                    
                                    <li><a href="bolum-detay.asp?id=4&dil=1">Denge ve Baş Dönmesi</a></li>
									<hr>
                                    
                                    <li><a href="bolum-detay.asp?id=5&dil=1">Tinnitus</a></li>
									<hr>
                                    
                                    <li><a href="bolum-detay.asp?id=6&dil=1">Burun ve Alerji</a></li>
									<hr>
                                    
                                    <li><a href="bolum-detay.asp?id=7&dil=1">Ses</a></li>
									<hr>
                                    
                                    <li><a href="bolum-detay.asp?id=8&dil=1">Horlama ve Uyku</a></li>
									<hr>
                                         
                                    </ul>
                                    </li>

                                    <li class="dropdown mega-menu-item"><a href="#">Yapılan İşlemler</a>
                                        <ul class="dropdown-menu">
                                            <li class="mega-menu-content">
                                                <div class="row">
                                                    <div class="col-lg-5">
                                                        <ul>

<li><a href="bolum-detay.asp?id=11&dil=1">Kulak Tüpü, Bademcik ve Geniz Eti Ameliyatı</a></li>
<hr>

<li><a href="bolum-detay.asp?id=22&dil=1">Konka Cerrahisi</a></li>
<hr>

<li><a href="bolum-detay.asp?id=27&dil=1">Septoplasti</a></li>
<hr>

<li><a href="bolum-detay.asp?id=28&dil=1">Endoskopik Sinüs Cerrahisi</a></li>
<hr>

<li><a href="bolum-detay.asp?id=29&dil=1">Östaki Balon Dilatasyonu</a></li>
<hr>

<li><a href="bolum-detay.asp?id=30&dil=1">Timpanoplasti</a></li>
<hr>

<li><a href="bolum-detay.asp?id=31&dil=1">Ses Cerrahisi</a></li>
<hr>
 														

                                                        </ul>
                                                    </div>

                                                     <div class="col-lg-5">
                                                        <ul>

<li><a href="bolum-detay.asp?id=20&dil=1">Rinoplasti (Burun Estetiği)</a></li>
<hr>

<li><a href="bolum-detay.asp?id=23&dil=1">Otopasti (Kepçe Kulak Estetiği)</a></li>
<hr>

<li><a href="bolum-detay.asp?id=24&dil=1">Bişektomi</a></li>
<hr>

<li><a href="bolum-detay.asp?id=25&dil=1">Blefaroplasti  (Göz Kapağı Estetiği)</a></li>
<hr>

<li><a href="bolum-detay.asp?id=26&dil=1">Botoks / Dolgu</a></li>
<hr>

<li><a href="bolum-detay.asp?id=32&dil=1">Diğer</a></li>
<hr>
 														

                                                        </ul>
                                                    </div>



													
                                                </div>
                                            </li>
                                        </ul>
                                    </li>
					
                                    <li class="dropdown"><a href="#">Hastalıklar</a>
                                    <ul class="dropdown-menu">

                                    
                                    
									<li><a href="hastaliklar.asp?dil=1&tur=1">Kulak</a></li>
									<li><a href="hastaliklar.asp?dil=1&tur=2">Burun</a></li>
									<li><a href="hastaliklar.asp?dil=1&tur=3">Boğaz</a></li>
									<li><a href="hastaliklar.asp?dil=1&tur=4">Boyun</a></li>
									<li><a href="hastaliklar.asp?dil=1&tur=5">KBB Acilleri</a></li>
  
                                    </ul>
                                    </li>
                                    
                                    
                                    <li class=""> <a href="iletisim.asp?dil=1">İletişim</a></li>  								
                                </ul>
                            </nav>
                        </div>
                    </div>
									
						
                    <!--end: Navigation-->
                </div>
            </div>
        </header>
        <!-- end: Header -->			
        <!-- end: Header -->


 	
     <section class="parallax text-light halfscreen" style="border-bottom: 4px solid #f9b338;" data-bg-parallax="pic/bolumler/ust.jpg">

     </section>
        <!-- end: SECTION FULLSCREEN -->
		<section class="background-grey">
            <div class="container">
                <div class="row  m-b-50">
                    <div class="col-lg-12">

                        <div class="heading-text heading-section">
						
                            <h2><a href="hastaliklar.asp?dil=1&tur=1">Kulak</a> | Akustik Norinom</h2>
                        </div>
                    </div>

                        <div class="row">
						<div class="col-lg-3">
                        <div class="widget clearfix widget-archive">

                            <ul class="list list-lines">
							
								<a href="hastaliklar-ayrinti.asp?dil=1&id=19&tur=1">
								<li>Akustik Norinom</li></a><hr>
							
								<a href="hastaliklar-ayrinti.asp?dil=1&id=23&tur=1">
								<li>Akut Otitis Media</li></a><hr>
							
								<a href="hastaliklar-ayrinti.asp?dil=1&id=25&tur=1">
								<li>Eksternal Otit</li></a><hr>
							
								<a href="hastaliklar-ayrinti.asp?dil=1&id=26&tur=1">
								<li>Baş Dönmesi</li></a><hr>
							
								<a href="hastaliklar-ayrinti.asp?dil=1&id=33&tur=1">
								<li>Orta Kulakta Sıvı</li></a><hr>
							
								<a href="hastaliklar-ayrinti.asp?dil=1&id=31&tur=1">
								<li>Kulak Çınlaması (Tinnitus)</li></a><hr>
							
								<a href="hastaliklar-ayrinti.asp?dil=1&id=30&tur=1">
								<li>Kulak Anatomisi</li></a><hr>
							
								<a href="hastaliklar-ayrinti.asp?dil=1&id=29&tur=1">
								<li>Kronik Kulak İltihabı</li></a><hr>
							
								<a href="hastaliklar-ayrinti.asp?dil=1&id=27&tur=1">
								<li>Ani İşitme Kaybı</li></a><hr>
							
								<a href="hastaliklar-ayrinti.asp?dil=1&id=63&tur=1">
								<li>İşitme Kaybı</li></a><hr>
									
							</ul>
                        </div>	
</div> 						
 
                           <div class="col-lg-8">
							<img src="pic/duyurular/akustik.jpg" width="100%"><br>

							<div style="text-align: justify;"><span style="font-size: medium;"><br />
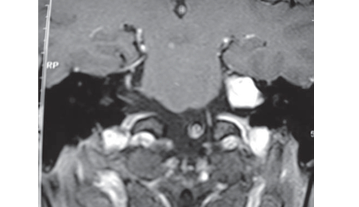
Akustik nörinom denge sinirinden köken alan iyi huylu bir tümördür. Tümör oldukça yavaş olarak büyür ve çevre dokulara bası yapabilir. Hastalarda tek taraflı kulak çınlaması ve işitme kaybı, dengesizlik şikayetleri daha ön plandadır. Şiddetli baş dönmeleri çok enderdir. Baş dönmesinden ziyade dengesizlik şeklinde ortaya çıkar. Yüz felci görülebilir. Tanı MR ile konulur.</span></div></div>                              
                        </div>

                </div>   
            </div>
        </section>
			 
            
        <!-- Footer -->


<footer id="footer">
            <div class="footer-content">
                <div class="container">
                    <div class="row" style="background-image: url('images/world-map-dark.png'); background-position: 50% 20px; background-repeat: repeat-x">
						<div class="col-md-6">
                                   <iframe src="https://www.google.com/maps/embed?pb=!1m18!1m12!1m3!1d3059.410823744667!2d32.83647181532889!3d39.93219937942435!2m3!1f0!2f0!3f0!3m2!1i1024!2i768!4f13.1!3m3!1m2!1s0x14d34ee37fb76deb%3A0x1212c7030092976b!2sKENT%20KULAK%20BURUN%20BO%C4%9EAZ%20VE%20ESTET%C4%B0K%20CERRAH%C4%B0%20MERKEZ%C4%B0!5e0!3m2!1str!2str!4v1678030833316!5m2!1str!2str" width="100%" height="250" style="border:0;" allowfullscreen="" loading="lazy" referrerpolicy="no-referrer-when-downgrade"></iframe>

                        </div>
                        <div class="col-md-6">
                            <div class="icon-box effect small clean">
                                <div class="icon">
                                    <a href="#"><i class="fas fa-map-marker-alt"></i></a>
                                </div>
                                <h3>Adres</h3>
                                <p><strong></strong>Anıttepe Mah. Turgutreis Cad. No:25 06570 Çankaya Ankara
                                <hr></p>
								
                            </div>
							<div class="icon-box effect small clean">
                                <div class="icon">
                                    <a href="#"><i class="icon-phone"></i></a>
                                </div>
                                <h3>İletişim</h3>
                                <p><strong>Tel:&nbsp;</strong><a href="tel:4444450">4444450</a>
                                    <br><strong>E-Posta:&nbsp;</strong><a href="mailto:info@kentkbb.org">info@kentkbb.org</a> 
                                    <hr>
                                </p>
                            </div><br>
							<div class="icon-box effect small clean">
                                <div class="icon">
                                    <a href="#"><i class="icon-clock"></i></a>
                                </div>
                                <p><strong>Hafta İçi</strong>
                                    <br>08:00 - 19:00</p>
                                <p><strong>Hafta Sonu</strong>
                                    <br>08:00 - 17:00</p>
                            </div>
                        </div>

                    </div>
                </div>
            </div>
            <div class="copyright-content">
                <div class="container">
                    <div class="row">
                        <div class="col-lg-6">
                            <!-- Social icons -->
                            <div class="social-icons social-icons-colored float-left">
                                <ul>
			<li class="social-facebook"><a target="_blank" href="https://www.facebook.com/kentkulakburunbogazveestetikcerrahimerkezi"><i class="fab fa-facebook-f"></i></a></li><li class="social-instagram"><a target="_blank" href="https://www.instagram.com/kentkbb/"><i class="fab fa-instagram"></i></a></li><li class="social-youtube"><a target="_blank" href="https://www.youtube.com/channel/UCoJz9LqIi-SzAH1AnzB-SvA"><i class="fab fa-youtube"></i></a></li><li class="social-google"><a target="_blank" href="https://goo.gl/maps/YseuA6W4mjaJEq7D8"><i class="fa fa-map-marker"></i></a></li>
								</ul>
                            </div>
                            <!-- end: Social icons -->
                        </div>
                        <div class="col-lg-6">
                            <div class="copyright-text text-center" style="color:#fff;">&copy; 2023 Kent Kulak Burun Boğaz ve Estetik Cerrahi Merkezi - <a href="https://www.erkantiyekli.com" style="color:#fff;" target="_blank" rel="noopener">E</a> </div>
                        </div>
                    </div>
                </div>
            </div>
        </footer>
	        
        <!-- end: Footer -->
		
    </div>
    <!-- end: Body Inner -->
    <!-- Scroll top -->
    <a id="scrollTop"><i class="icon-chevron-up"></i><i class="icon-chevron-up"></i></a>
    <!--Plugins-->
    <script src="js/jquery.js"></script>
    <script src="js/plugins.js"></script>
    <!--Template functions-->
	
    <script src="js/functions.js"></script>
	
</body>

</html>